正顎手術通常被用於矯治顎骨畸形的情況,經常搭配牙齒矯正療程,幫助患者同時調整咬合。但究竟什麼情況需要正顎手術?正顎手術實際上可以帶來什麼效果?今天要藉由正顎手術的實際案例分享,帶大家了解正顎手術的成效,幫助你達成理想外觀與正確咬合。
正顎手術是什麼?3種手術類型介紹
正顎手術類型1:單顎手術
單顎手術可以進一步分成上顎骨及下顎骨2種類型,主要根據患者的情況規劃療程,如果是上顎突出,需將齒槽突部位水平切開;下顎骨則是矢狀切開,接著調整到合適的位置,再以骨釘固定。
正顎手術類型2:下巴成形手術
移動下巴骨頭的正顎手術類型,手術時會切開下顎骨的前方,透過手術或是在下巴放進植入物,調整下巴的位置後再以骨釘固定。
正顎手術類型3:雙顎手術
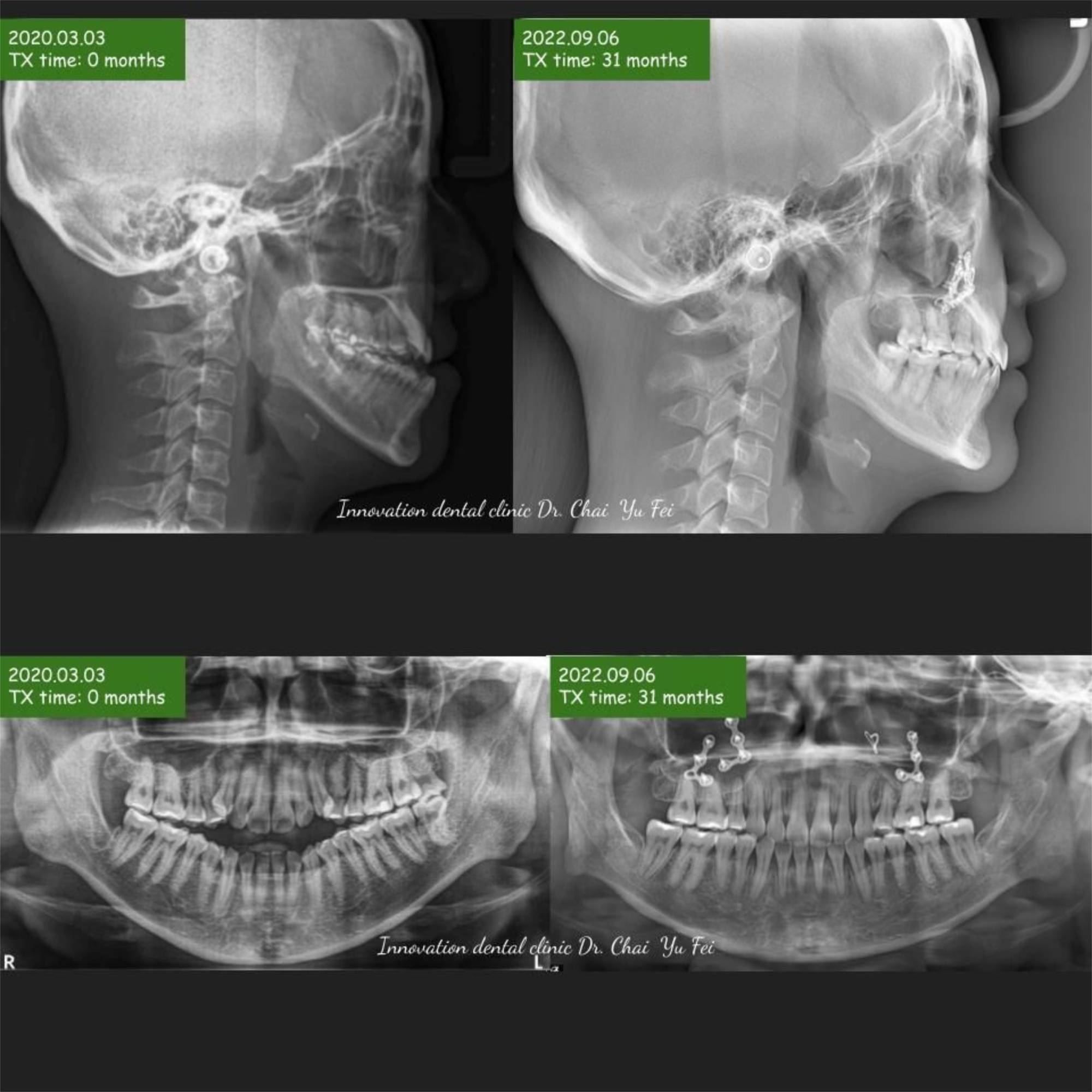
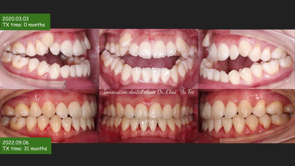
如果患者需要執行上顎骨及下顎骨2種手術,則稱為雙顎手術,同時移動上顎骨與下顎骨,有效改善臉型與咬合情況,這次的手術分享就是雙顎手術的成功案例,接下來為你詳細解析。
正顎手術有什麼成效?與牙齒矯正有什麼不同?

因此,如果你的牙齒有骨性(建築)上的根本問題,想要單純用齒性(室內設計)矯正達到心中期待的成果,可說是緣木求魚,很可能花了大量的時間,不但損失牙齒、折損金錢,還沒有達到預期效果,建議大家在尋求治療時,多了解正顎手術合併矯正的好處,並經由專業醫師的詳細評估,同時解決臉型與咬合問題,讓療程達到全面性效果。
正顎手術案例分享-W同學
以這次分享的W同學案例來說,W同學原本就有很好的外型,只是因為骨性戽斗,造成咬合不正,前牙呈現開咬,這樣的狀態已經困擾她超過十年以上。因緣際會透過寰宇牙醫診所-林裕崧醫師介紹來展心展研做諮詢,經過我的臨床診斷後,斷定這是需要合併「正顎手術」的矯正案例,也因此我決定與「矯正跟口腔外科雙專科」的蔡佩晏學姊合作。
從術前的準備跟評估開始,蔡佩晏學姊就展現細心無比的一面,不斷提醒我合併手術需要留意的細節,手術當天也因為有術前兩造醫師的仔細評估、溝通、擬定治療計畫,從麻醉、移動骨頭位置、上鈦板固定到縫合傷口,高度技術密集的作業過程進行得非常順利,這當中也要特別感謝小綠學姊,在TABLE上的神手,幫助咬合對在一個很順的位置。

謝謝W同學忍受術後那些不方便的時刻,最終能有這樣的結果大家都很開心,很想跟大家說:OGS(正顎手術合併的矯正治療)其實不可怕,只要經過仔細評估與規劃,就可以很完美的調整臉型與咬合!
日文版矯正心得:
彼女は後輩が紹介された患者様です.
私は先輩と協力して(先輩はOGS担当,私は矯正担当です),この治療結果を出来て幸いです.
シャクレ、長い顔、アシンメトリなどはいずれもOGS(顎矯正手術:Le Fort1+BSSO;上下顎骨切り)によって治療が予定です。
この場合、そのままだと術後しっかり噛めない状態ができるので、従来は術後のかみ合わせが安定するところまで術前矯正を1年半程度行っていました.
術前準備と術後矯正治療は順調行いました.
このケースからいろいろ勉強になりました
[ 此文章內發佈之照片已徵得病患同意,供學術研究及個人紀錄之用途 ]
更多矯正案例:

