暴牙除了會影響一個人的外貌,造成對外貌的不自信之外,甚至可能因為咬合不正而出現發音、咀嚼上的問題,進而影響身體健康。因此暴牙矯正對許多人來說是十分重要的療程,今天翟醫師要分享暴牙露牙齦的矯正案例,詳細解析暴牙原因、矯正過程及矯正成果,幫助大家了解暴牙矯正。
怎麼樣才算暴牙?翟醫師解析暴牙成因
這邊要跟大家分享學術原則上,造成暴牙的原因,帶大家熟悉暴牙的定義:
首先暴牙可以簡單分成「骨性暴牙」跟「齒性暴牙」2種,骨性暴牙是上下顎骨頭前凸或後縮造成的暴牙情形;齒性暴牙則是牙齒角度外翻引起的暴牙情況。
但「骨性暴牙」跟「齒性暴牙」並不是單一症狀,可能會合併出現,因此根據患者的情況不同,暴牙還可以分成以下6種情況。
1. 上顎齒列前凸
2. 上顎骨性前凸
3. 以上兩點都有就是齒性跟骨性合併前凸
4. 上顎正常,下顎後縮,也會看起來前凸
5. 上下顎齒性都前凸
6. 上下顎骨性都前凸
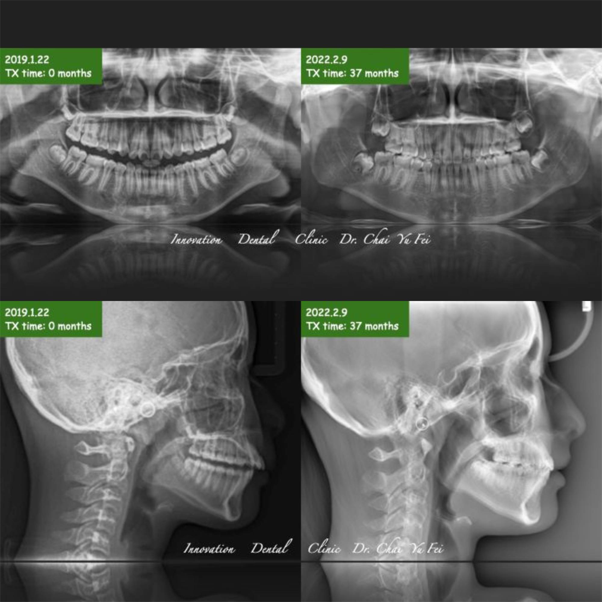
以這次分享的邱同學案例來說,經過翟醫師評估,判定她的上下顎骨骼都是正常的位置,是門牙外翻造成的齒性暴牙。

雖然暴牙有很多科學數據及學術上的定義,但美感是很主觀的,其中牽涉到的文化、時代流行、地域差別等,都佔很大影響因素,因此翟醫師想要告訴大家的是:「暴牙是你覺得有暴就是暴!」,即使不影響咀嚼、發音,只要你不滿意自己的牙齒排列,都歡迎到診所諮詢,我們會提供專業評估及療程建議,幫助你改善暴牙情形。
暴牙矯正一定要拔牙嗎?
這是翟醫師最常聽到的疑問,許多患者都會擔心拔牙問題,總覺得暴牙矯正都要拔4顆牙齒,但其實不一定喔~根據每個人的情況不同,有些人只需要拔2顆牙,甚至不用拔牙也能完成矯正。

果然,在翟醫師的治療之下,患者原本前凸跟狹窄的上顎齒列,藉由上顎2顆小臼齒移除之後,暴牙的感覺完全消失,下顎也伴隨她的生長發育跟橡皮筋進行的下顎牽引,我們得到了一個很好的輪廓~最後的成果讓人很感動。
上顎暴牙矯正前後變化,改善露牙齦外觀
最後分享邱同學的矯正成果給大家參考:


矯正牙齒不只是醫生的功勞,很感謝邱同學在矯正期間的配合,中間經歷疫情好幾個月沒有回診調整,還是有認真清潔保養,最後很幸運完成在這樣的狀態~
日文版暴牙矯正心得:
いつも4本抜歯が必要ですか?
時々二本も十分ですよ,上顎2本を抜歯して,
下顎の角度を調節して,理想な外観になりました
抜歯症例,上顎がミニインプラントで遠心に引っ張ってしました
下顎は予想によって自然に成長させました
みんなご指導のほどよろしくお願い申し上げます
およそ3 年の治療の間,色々なご協力を頂き,本当にありがとうございました.
[ 此文章內發佈之照片已徵得病患同意,供學術研究及個人紀錄之用途 ]
更多矯正案例:



