[ 矯正醫師 ] : 展心牙醫 翟聿飛 醫師
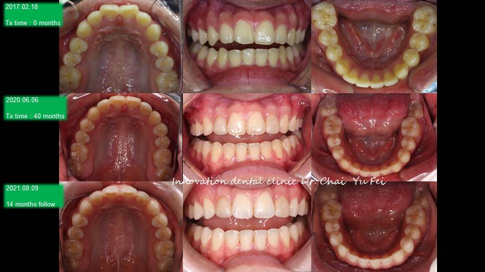
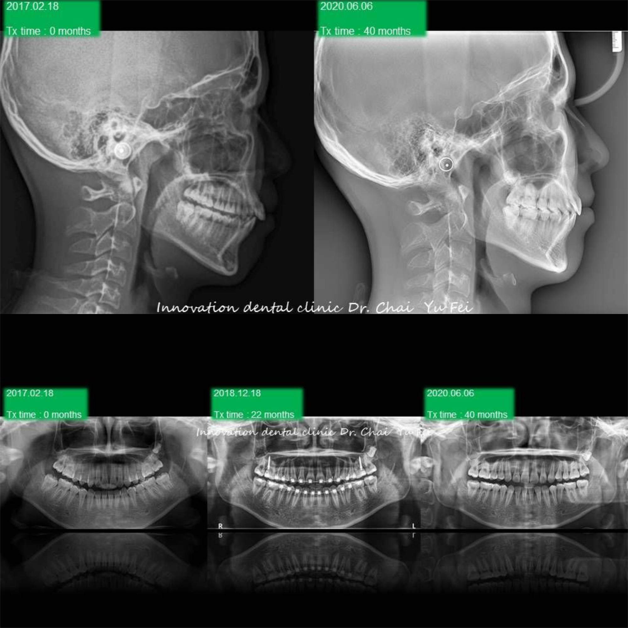
[ 治療方式 ] : 利用矯正 , 將前突的齒列內收,改善外觀,右側咬合高度喪失重建,植牙,恢復美觀功能
[ 治療時間 ] : 40 個月
[ 矯正器種類 ] : MBT 18X25 金屬矯正器
男生的發育都是很長遠的,看到初始這樣的暴牙可能會擔心需要拔牙改善,但是考量孩子的年紀與生長潛力
我們採用上顎到後期用骨釘加一層保險去控制,下顎讓孩子自然生長的方式,現在這位高材生都已經升大學了
今年暑假回來follow 的成果讓人很感動
非抜歯症例,上顎がミニインプラントで遠心に引っ張ってしました
下顎は予想によって自然に成長させました
みんなご指導のほどよろしくお願い申し上げます
Non-extraction case .
Upper control by mini screw , lower let him grow automatically




很感謝他矯正期間的配合,很有耐心地讓我在最後改中線的部分花了不少時間。
およそ4年の治療の間,色々なご協力を頂き,本当にありがとうございました.
[ 此文章內發佈之照片已徵得病患同意,供學術研究及個人紀錄之用途 ]





