首頁
診療服務
部落格
聯絡我們

青少年臼齒扶正合併暴牙改善案例-A同學

[ 矯正醫師 ] : 展悅牙醫  翟聿飛 醫師

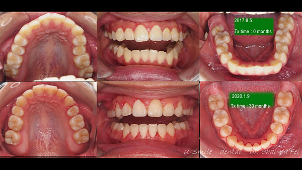
[ 治療方式 ] : 利用LH 線的超彈性將嚴重傾倒的第二大臼齒扶正。

[ 治療時間 ] : 30 個月

[ 矯正器種類 ] :   TOMY  18X25 透明矯正器

[ 翟醫師治療心得 ] :

A同學來到診所,主要希望能夠解決右下傾斜的大臼齒,經過全面性的評估後,另外我認為她若拔掉小臼齒製造空間 ,前突的角度會改善非常多,

經討論之後,決定要合併拔牙治療解決前牙暴牙的狀況~

この患者さんは最初は,傾斜していた奥歯を改善したいので,クリニックへ来てくれました,

ISW(東京医科歯科大学開発) を使ったので,歯並びを矯正するスピードが速く,三が月ぐらいできれいに並びました.

でも,  歯が出ているため、普段から口が開いている状態です,

無理に閉じようとすると、口元が緊張するため長時間閉じることができませんでした.この理由で,

上顎と下顎の第一小臼歯を抜歯し、叢生(そうせい)の改善と共に口唇(こうしん)の突出(とっしゅつ)感の改善を図ることにしました。

讓我們來看看她治療前後的成果吧~

▼ 治療前後の比較 (上顎・下顎)

治療後の写真です。治療前と比較すると、歯が歯列にそってアーチ状にキレイに並んでいるのがわかります。

歯の裏側が見えていた第二大臼歯の傾斜も改善されているのがわかります。

▼ 治療前後の比較 (側方)

どちらの写真も、歯の傾斜が改善されているのがよくわかる写真です。

見た目だけでなく、上の歯と下の歯がしっかりと噛み合うようになり、患者様に喜んでいただけました。

矯正後害羞的她稍稍展開了笑顏~原本暴牙的情形也改善了許多。

抜歯矯正治療によって、治療後では前歯の傾斜と前突が改善されたため、

上顎兩顆小臼齒的拔牙空間順利關閉。藉由骨釘後退達到理想咬合。下顎咬合平面整平後,再向內移動改善唇型。

私たちは、矯正治療では正しいかみ合わせを実現しながらも患者さまのご希望を叶えていくことが大切だと考えています.

很感謝她兩年半矯正期間的配合,很有耐心地讓我在最後的細節龜毛一番。

二年半の治療の間,色々なご協力を頂き,本当にありがとうございました.

A同學從原本害怕看牙齒,到後來變得勇敢,知道我們矯正能夠為她改善很多。身為醫師的我真的非常感動。

 

[ 此文章內發佈之照片已徵得病患同意,供學術研究及個人紀錄之用途 ]

發佈留言

發佈留言必須填寫的電子郵件地址不會公開。 必填欄位標示為 *

近期留言