[ 矯正醫師 ] : 展悅牙醫 翟聿飛 醫師
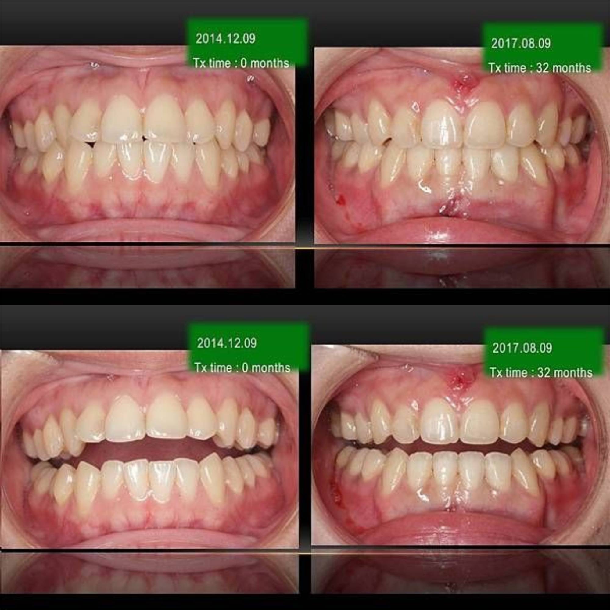
[ 治療方式 ] : 拔牙矯正 ,利用迷你骨釘 , 將上顎齒列向上及向後退,下巴向前旋轉,改善外觀
[ 治療時間 ] : 32 個月
[ 矯正器種類 ] : DR. TSENG 零度矯正器
[ 翟醫師治療心得 ] :
林小姐初次來到診所,對自己最不喜歡的就是脣形與微笑會露牙齦的問題,齒列的整齊度來說,是沒有太大問題的,
患者林さんはじめにクリニック来た時,自分の見た目一番好きじゃない部分は,唇の形と笑った時の歯茎の露出部分が多過ぎことです.
歯並びは,あまり問題はありません.
矯正前主要就是笑的時候比較容易顯露出上排牙齒前突的感覺。
讓我們來看看她的前後變化吧,以正面來說,不再只因輕輕微笑就露出上排牙齦。
側面藉由我們矯正系統的一些概念,將不足的下顎逆時鐘旋轉,達到更立體的臉型。


像這樣整齊卻暴牙的症狀,對醫師來說,是挑戰性很大的型態,因為代表拔牙的空間會全部用來將前牙後退。
こんな状態は,難しい症例だと思います
在牙齒慢慢後退的過程之中,側面的輪廓也變立體了。
すべて抜歯後の空間が前の歯が後に移動するために使い果たした.
矯正到了後期,她的整體輪廓也開始有了不一樣的感覺,再經過幾個月微調整就可以拆了。


能夠達到林小姐的需求,看著她一步步的變化,身為醫師,花費的這些時間覺得是非常值得的。
病人矯正完成以後,笑容變得更加秀氣,氣質也提升不少。

[ 此文章內發佈之照片已徵得病患同意,供學術研究及個人紀錄之用途 ]



