首頁
診療服務
部落格
聯絡我們

從小門牙開開加微暴牙怎麼辦?女大18變案例-葉小姐

[ 矯正醫師 ] :  翟聿飛 醫師

[ 治療方式 ] : 拔牙矯正 ,利用迷你骨釘 , 將上顎齒列向上及向後退,下巴向前旋轉,改善外觀

[ 治療時間 ] : 31 個月

[ 矯正器種類 ] :   MBT 22X28 金屬矯正器

[ 翟醫師治療心得 ] :

葉小姐大學在台期間來到展悅諮詢暴牙問題,第一次來到診所討論想法時,主要是希望能把分開的門牙關閉,並且將牙齒排整齊。

她有下顎比較發育不足的情況,決定以拔牙來將牙齒向上向後移動。

YE さん大学生時,彼女は私が働いているクリニックに診察を受けに来ました.彼女が自分自身一番気にしていたところは開けているの出っ歯でした.

患者さんの下顎の発育が充分でないので,前歯を引っ込めたいなら,小臼歯を抜歯しなければなりません.

矯正期間,下顎第二大臼齒的矯正器很難黏著,她也很配合,我們不斷挑戰,不斷重黏

由於她的配合度 ,以及年紀的關係,移動的速度算還不錯 ,但我還是花了兩年多的時間來調細節~ 矯正完成後,她從大學畢業準備回國,恭喜!

由側頭顱X光片來看,可以見到她上下顎牙齒都比較前突,造成她唇形以及側面輪廓比較不理想。

經過矯正的排列,以及第一小臼齒拔除後,前齒列後退,我們慢慢朝理想的外型及咬合前進。

このセファログラムレントゲン写真によって,上顎と下顎の歯は前突していることと外観は口元全体が盛り上がってしまていることが分かります,
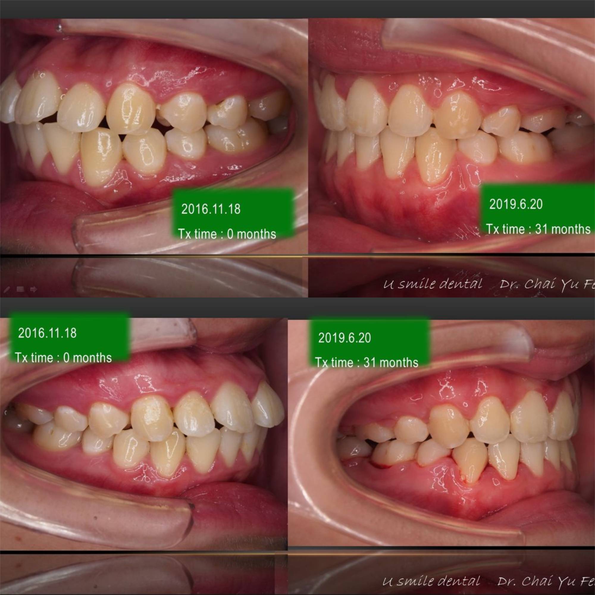
讓我們來看看他的治療前後變化
ちりゅう前後を比較すると

正面可以看出,在矯正前嘴唇周圍肌肉張力較緊繃。

歯列全体が盛り上がってしまい、口元が膨らんだ印象になります

 

笑的時候分開外露的門牙是她最不喜歡的部分,希望能有一個美麗的笑容。

側面輪廓原本因為嘴唇外凸而造成下巴看起來不明顯,經矯正處理空間過後,臉部輪廓.側方的ESTHETIC LINE (美學線) 就展現出來。

横から顔を見ると、鼻とオトガイに比べて相対的に口元が突出しており、

唇を尖らせているようにも見えるためいつも怒っているような風貌と捉えられることもあります。

 

鼻子到下巴尖端的連線,上下唇都能靠近連線為佳。

很氣質的她,每次來看診都穿得很有設計感。

可以看到她一開始的排列是比較往前突的形式,牙齒形狀本來是很好的。
在矯正的後期,有幫者在微創的雷射儀器之下,對多餘的牙齦做修整,牙齒比例會看起來比較修長。

但還是要等待牙齦慢慢消腫恢復自然。

本来、顎のアーチに沿って、歯が横一列に並ぶはずの歯が、顎が狭く並べるスペースがないために、

その一部がはみ出してしまっている状態です。

下顎第二大臼齒舌側骨比較薄,這種狀況最難控制的地方,大臼齒很容易向內倒,經由矯正後,咬合有所改善。

 

可看出因矯正調整3D空間,進行前後向及垂直向的改變。

以上は、成人上下顎前突症の治療例です。永久歯列に対してブラケット法による本格治療を行いました。矯正治療によって正しい噛み合わせが得られています。

 

[ 此文章內發佈之照片已徵得病患同意,供學術研究及個人紀錄之用途 ]

發佈留言

發佈留言必須填寫的電子郵件地址不會公開。 必填欄位標示為 *

近期留言