[ 矯正醫師 ] : 展悅牙醫 翟聿飛 醫師
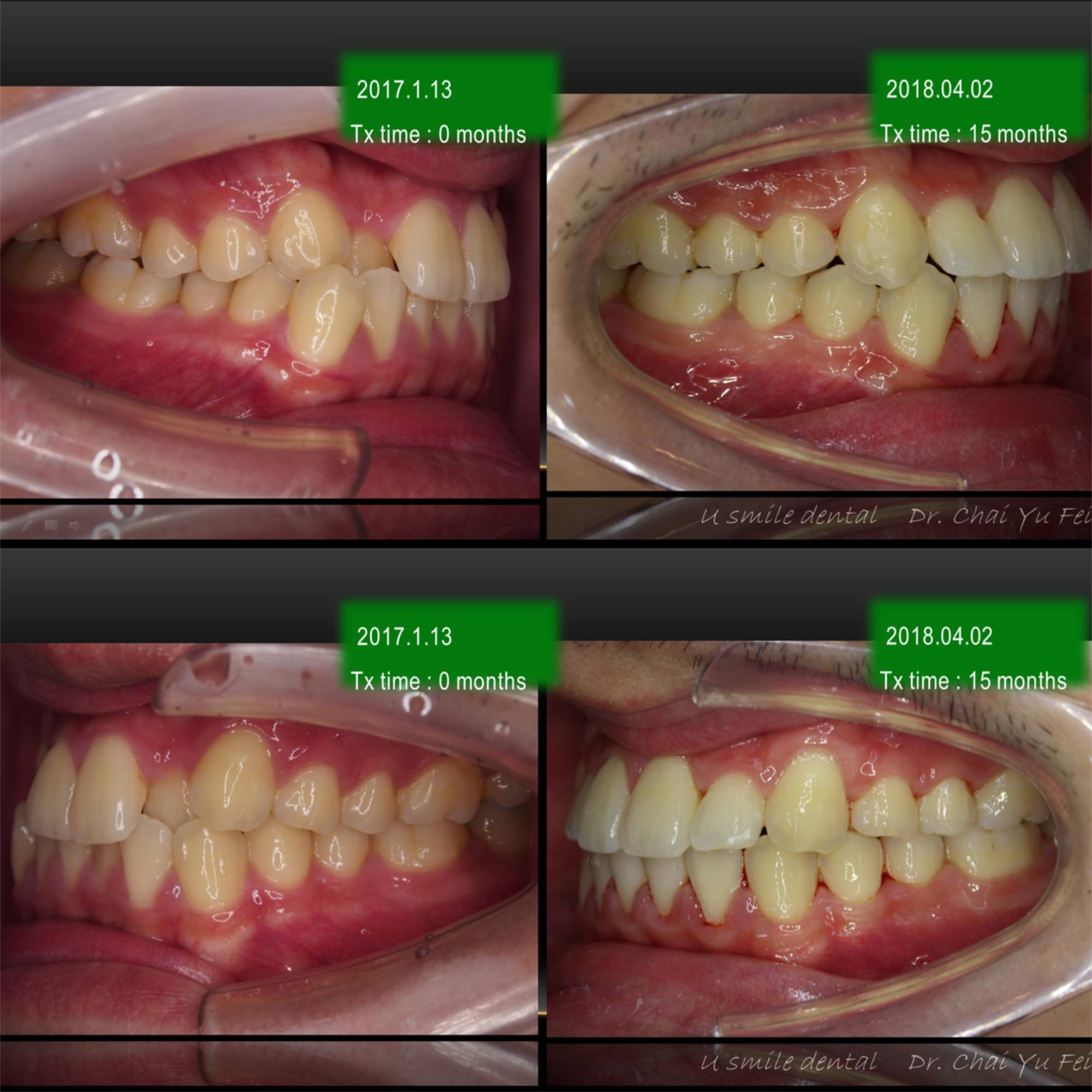
[ 治療方式 ] : 不拔牙矯正 ,未使用迷你骨釘 , 將上顎齒列擴張,將側門牙彈出,右側感善錯咬,改善外觀
[ 治療時間 ] : 15 個月
[ 矯正器種類 ] : ROTH 22X28 矯正器
[ 翟醫師治療心得 ] :
這個帥氣的年輕人初來到診所時,主要是希望能把卡在內側的兩顆側門牙往外移動,並改善咬合的問題,希望能有個帥氣的笑容。
他是個很好相處的陽光男子,治療期間發現他也是個運動愛好者! 我們常常一起聊爬山的事,他也很曾經騎著自行車環台,真是佩服。
今回の患者さんは明るい人です.
スポーツが好き,台湾の山登り,自転車で台湾一周を完成しました.
イケメンでしょう?
讓我們來看看他的治療前後變化
矯正前上唇豐隆度較不足

由於他有輕微厚道的趨勢,上顎前牙牙弓較窄,
觀察臉型之後決定以不拔牙來將上顎牙弓擴大,排出側門牙跟改善錯咬的狀況。
我們也沒有使用迷你骨釘,靠著矯正器及線的作用,去將他卡在後面的牙齒排列出來,增加上顎豐隆度。
でも,この二本の歯は隠れて,スマイルは完璧じゃないです.
このケースは抜歯もしないし,ミニーインプラントも使っわない予
上顎歯の形状を大きくしましょう.
治療時間は15ヵ月ぐらいかかりました


看到他在這一年多的時間 ,這樣辛勤地為自己的牙齒和外觀努力,覺得很感動,身為他的矯正醫師,為他能夠有這樣自信的微笑,非常替他開心。
他最近工作也升遷上一間店的負責人,矯正雖然做完了,但是希望我們能保持聯絡,有天再一起去爬山吧~
以上は、成人上顎大きくなるの治療例です。
永久歯列に対してブラケット法による本格治療を行いました。
矯正治療によって正しい噛み合わせが得られています。
[ 此文章內發佈之照片已徵得病患同意,供學術研究及個人紀錄之用途 ]



