首頁
診療服務
部落格
聯絡我們

先天缺牙造成臉型不對稱怎麼辦?外觀改變案例-林小姐

[ 矯正醫師 ] :  展心牙醫 翟聿飛 醫師

[ 治療方式 ] : 犬齒替代側門牙,小臼齒替代犬齒 不對稱拔牙矯正 ,利用拔牙空間將暴牙空間內收 ,改善原本嘴唇前突。

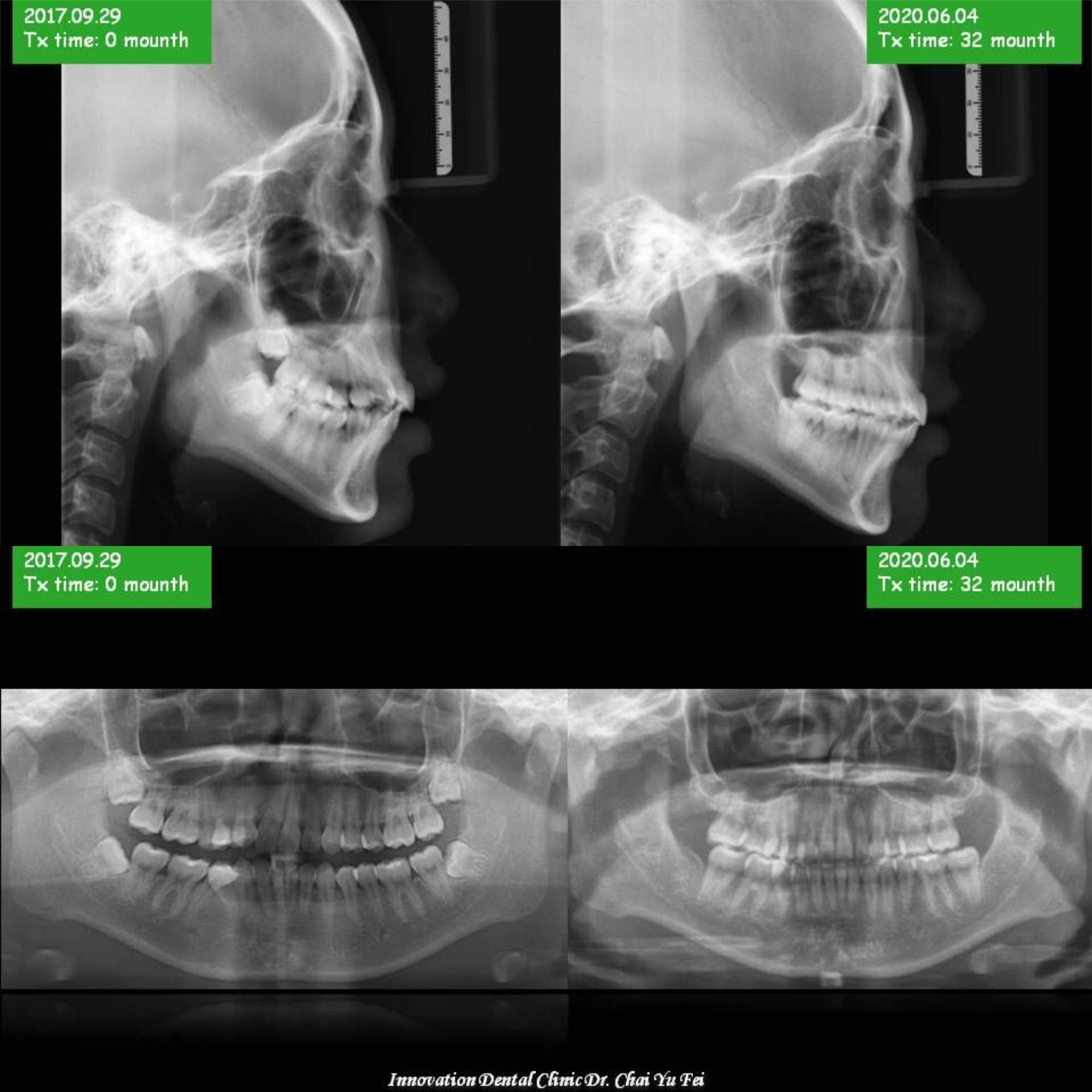
[ 治療時間 ] : 32 個月

[ 矯正器種類 ] :   INNOVATION 18X25 自鎖矯正器

[ 翟醫師治療心得 ] :

先天缺的側門牙造成林小姐的煩惱,中線向右偏移外觀上都有影響.

經過我的評估,認為需不對稱拔除單側兩顆小臼齒改善上顎中線偏移,並達到理想的咬合關係

この患者さんは最初は,歯列の並びを改善したいので,クリニックへ来てくれました.

抜歯しないの場合は歯がすべて揃っているからと云っても、きちんと噛み合っていないのであれば、咀嚼の効率が悪かったり、

その他の問題を抱えたままの状態であると考えるべきでしょうか

このように、矯正治療では歯を抜かざるを得ないことが多いのです,

歯が出ているため、普段から口が閉めにくい状態です,

無理に閉じようとすると、口元が緊張するため長時間閉じることができませんでした.この理由で,

上顎右側側門歯が先天性欠除による左右非対称,犬歯が側門歯に代わった、 小臼歯が犬歯に代わった.

上顎左側第一小臼歯、下顎右側第二小臼歯抜歯を行いました

ミッドーラインの改善と共に口唇(こうしん)の突出(とっしゅつ)感の改善を図ることにしました。

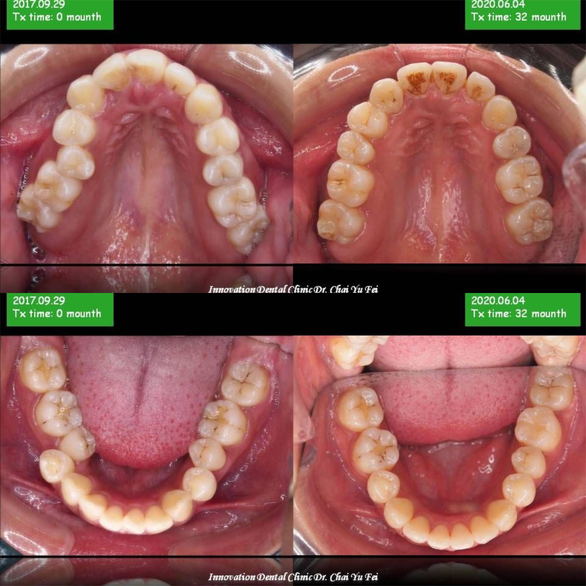
讓我們來看看她治療前後的成果吧~
下は、横から撮影した写真の比較です。

矯正後笑起來的感覺非常亮麗~原本暴牙嘴唇無法自然關閉的情形也改善了許多。
抜歯矯正治療によって、治療後では前歯の傾斜と前突が改善されたため、

上下の唇を無理やり閉じる必要がなくなりオトガイに固有の自然なカーブが現れています。

上顎兩顆小臼齒的拔牙空間順利關閉。藉由骨釘後退達到理想咬合。下顎大臼齒立起來後,藉由下巴的移動改善唇型與輪廓。

私たちは、矯正治療では正しいかみ合わせを実現しながらも患者さまのご希望を叶えていくことが大切だと考えています.
▼ 治療前後の比較 (側方)

 

▼ 治療前後の比較 (上顎・下顎)

治療後の写真です。治療前と比較すると、歯が歯列にそってアーチ状にキレイに並んでいるのがわかります。

歯の裏側が見えていた2本押し込んでいた側門歯も改善されているのがわかります。

 

どちらの写真も、歯の傾斜が改善されているのがよくわかる写真です。

見た目だけでなく、上の歯と下の歯がしっかりと噛み合うようになり、患者様に喜んでいただけました。

很感謝她矯正期間的配合,很有耐心地讓我在最後改中線的部分花了不少時間。

將近三年の治療の間,色々なご協力を頂き,本当にありがとうございました.

林小姐每次來看診,都是帶著爽朗的笑容,而且她超認真拉橡皮筋的,果然上天不會虧待努力的人~

經過牙齒矯正,有了完美的微笑和健康好清潔的排列,這就是我們矯正醫師辛苦過後,感到最值得的一刻。

 

[ 此文章內發佈之照片已徵得病患同意,供學術研究及個人紀錄之用途 ]

發佈留言

發佈留言必須填寫的電子郵件地址不會公開。 必填欄位標示為 *

近期留言