OGS combine ortho CASE (正顎合併矯正的案例)
翟聿飛醫師X羅文甫醫師
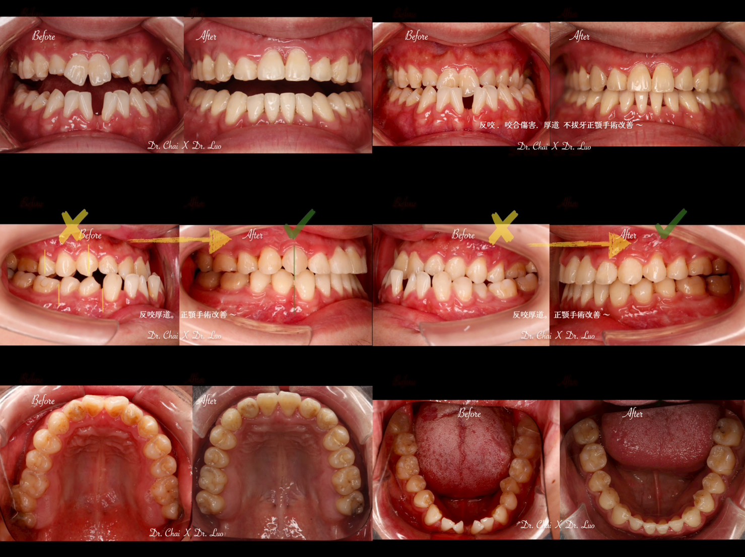
這次跟甫哥合作的案例真的是很有成就感!
從術前的準備跟評估,見識到了學長細心無比的一面,
手術的那天我在現場觀摩甫哥執刀如此俐落,在TABLE上指揮若定,一切過程按照著術前計畫,將上下顎對在很棒的位置,讓我們在術後調整如此順利.
當然還是要謝謝主角C同學在矯正的過程這麼努力,忍受那些不方便的時刻,有這樣的結果~大家都很開心,
很想跟大家說:OGS (正顎手術合併的矯正治療)其實不會可怕,也可以在骨骼基礎上做很完美的調整~
若有厚道. 後縮. 臉歪. 不對稱 等等骨性問題,不要害羞,趕緊來諮詢
羅文甫醫師為口腔顎面外科專科醫師,專長在
(1)複雜性拔牙手術與阻生齒拔除手術
(2)顎骨骨折及顏面外傷處理
(3)頭頸部齒源性感染治療
(4)口腔良性及惡性腫瘤切除
(5)人工植牙暨相關重建手術
(6)顎顏面畸形暨咬合功能異常的診治
(7)顳顎關節疾患之治療。
私は先輩と協力して(先輩はOGS担当,私は矯正担当です),この治療結果を出来て幸いです.
シャクレ、長い顔、アシンメトリなどはいずれもOGS(顎矯正手術:Le Fort1+BSSRO;上下顎骨切り)によって治療が予定です。
この場合、そのままだと術後しっかり噛めない状態ができるので、従来は術後のかみ合わせが安定するところまで術前矯正を1年半程度行っていました.
術前準備と術後矯正治療は順調行いました.
このケースからいろいろ勉強になりました
Thanks for the cooperation during the treatment time .
#羅文甫醫師 #口腔外科醫師 #展研牙醫 #爵佳美學牙醫 #矯正 #翟聿飛醫師
#林口矯正#台中矯正#矯正#orthodontics#Taiwan
#正顎手術#台湾#歯列矯正#厚道#台湾歯科




