[ 矯正醫師 ] : 權美牙醫 翟聿飛 醫師
[ 治療方式 ] : 拔牙矯正 ,利用拔牙空間將暴牙空間內收 ,合併正顎手術,最後改善原本下顎前突。
[ 治療時間 ] : 21 個月
[ 矯正器種類 ] : DR. TSENG 22X28 Slot 金屬零度矯正器
[ 翟醫師治療心得 ] :
就讀高中的張同學由於對自己的外觀不滿意 ,來到權美就診
張さんは高校一年生の時,自分の外観を気にしているので,権美クリニックへ来た話しを聞いた.
從患者的側面來看,上下唇都是不能夠自然地閉上嘴巴,經過幾個月的準備,已經達到手術前標準,接著術後調整到理想的外觀.
以側頭顱CEPH X 光片來說,她的上顎牙齒蠻前突的,但是,下顎前牙的角度前突的程度並不是太大,
CEPH レントゲン撮影によって,上の前歯が強く前に傾斜していたり、上あごの歯全体が前に突き出ていたりする状態をいいます。
しかし,下顎前歯は前に傾斜するの程度がそんなに強くない.
經評估後覺得就算上下顎都拔牙將齒列後退,
恐怕也達不到厚道改善的程度,經過充分溝通,建議她使用矯正合併正顎手術的方式去完成治療。
這次要介紹一位厲害的醫師,正顎手術的專家: 口腔外科陳人瑄醫師,他是我以前在台中榮總服務的時候共事的學長,
那些年就因為他精湛的手術技術而佩服,很有緣份地我們都在彰化地區有看診,於是就將張同學的正顎任務交付給人瑄學長。
這個年代的正顎手術已經跟早年都不一樣,術前的3D定位技術已經非常精準,以下就是術前術後的模擬圖。
陳人瑄醫師使用的術式如下:
Upper : lefort one osteotomy
Lower : intraoral vertical osteotomy
上顎稍微ADVANCE 些,大約1.3~1.5MM
由於臉部有輕微不對稱的情形,右側需退後的量較多,大約退後9.5MM ~ 10.5 MM
左側需退後大約8.5MM ~ 9.5 MM
讓我們來看看她術前術後的成果吧~
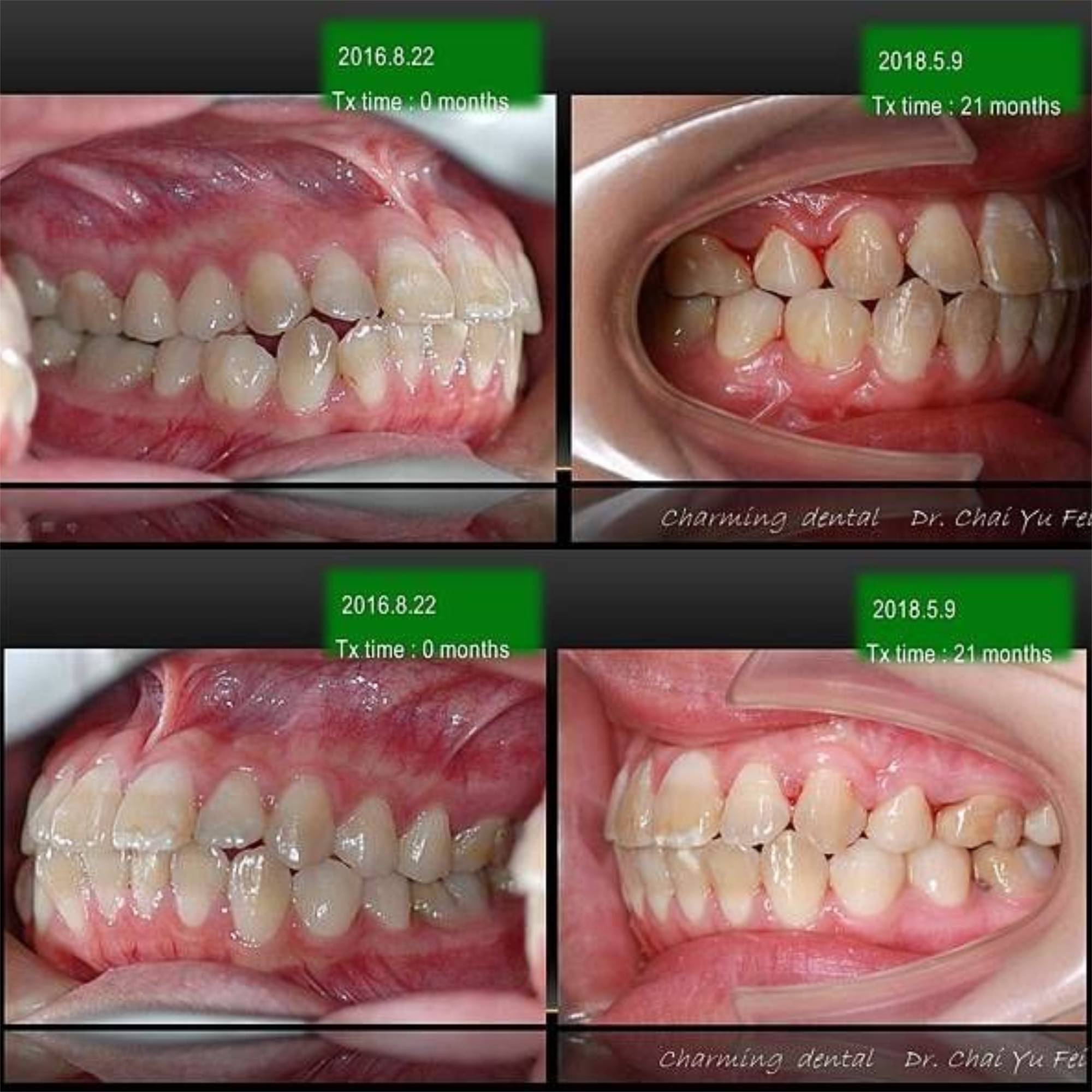
術前準備期會看起來更厚道,其實不必擔心,那是因為將下顎咬合平面打平的結果。

原本厚道嘴唇無法自然關閉的情形也改善了許多。
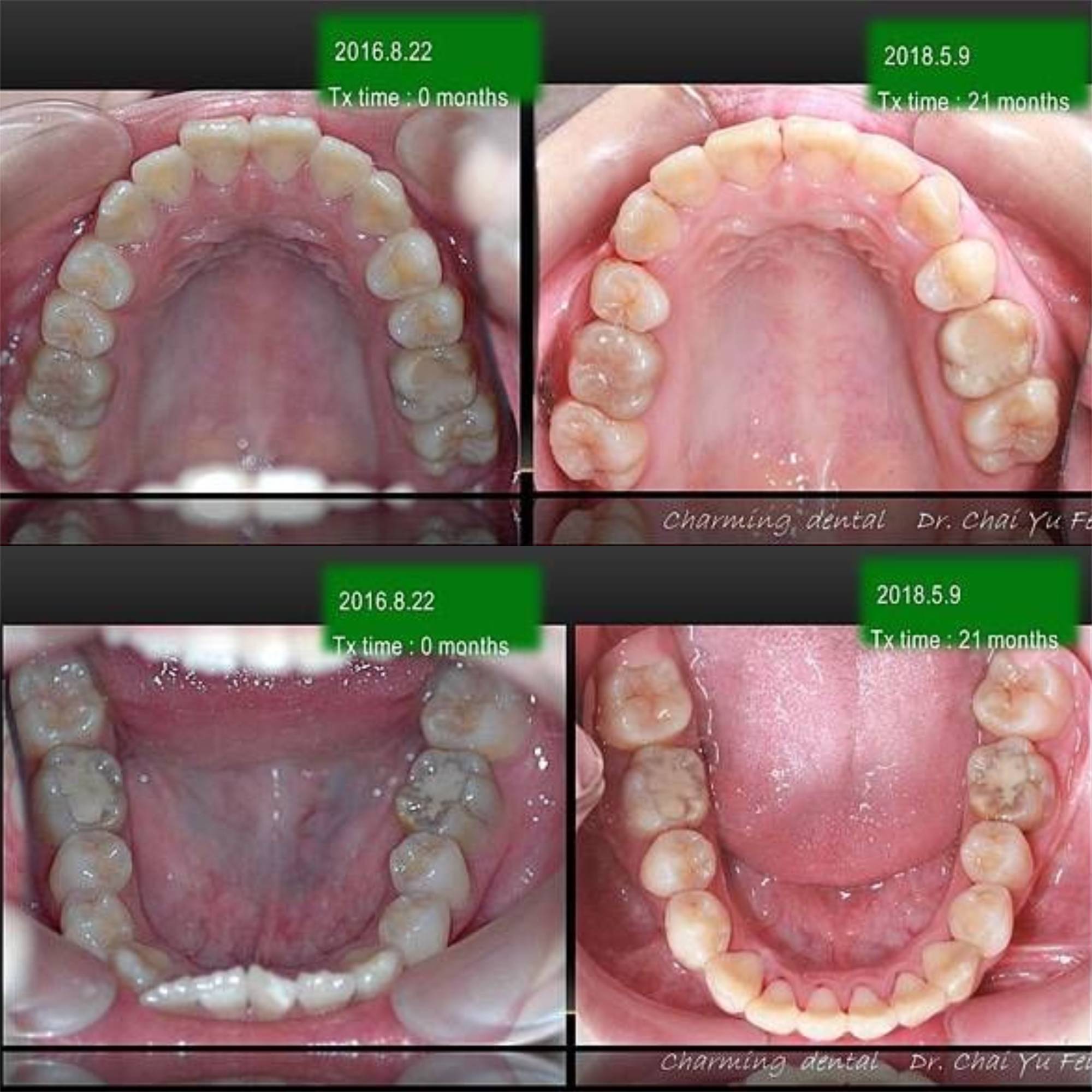
上顎兩顆小臼齒的拔牙空間順利關閉。
下顎咬合平面打平,藉由手術後退達到理想咬合。可以注意到她的右下第一小臼齒解剖構造比一般大!


經由我的矯正治療與陳人瑄醫師的正顎手術,張同學可以開心地微笑了~
[ 此文章內發佈之照片已徵得病患同意,供學術研究及個人紀錄之用途 ]




