有假牙治療需求時,相信多數人都會面臨活動假牙和固定假牙的抉擇,今天就帶大家詳深入認識:「固定式假牙是什麼?」,解析優缺點、種類及價格,幫助你做出最合適的選擇,有效維持口腔健康。
固定式假牙是什麼?
固定假牙是一種補綴物,顧名思義就是將假牙固定於口腔之中,不像活動假牙一樣需要取下來清洗,只要跟一般牙齒一樣正常清潔即可。
哪些情況需要固定假牙?固定假牙比活動假牙更好嗎?
假牙治療方法沒有絕對的好壞,只有適不適合的差別。
不管牙齒本身狀況如何,譬如大面積的缺損斷裂、根管治療後的牙齒或是嚴重蛀牙等,都可以透過固定假牙的方式恢復美觀和功能。
一旦牙齒缺失,缺牙顆數多寡都有機會利用固定假牙完成口腔重建,也能最大的恢復原本的咬合能力,而且固定假牙不用拆下來清洗,也不像活動假牙容易有異物感。
但有些人的缺牙情形較嚴重,或是口腔狀況不適合施作固定假牙,選用活動假牙也能獲得很好的治療效果,因此在選擇假牙治療方法前,一定要諮詢專業醫師,協助規劃最合適的療程。
(想了解活動式假牙的優缺點,可以參考:活動假牙好用嗎?選用活動式假牙前,先搞懂假牙種類、優缺點及費用)
為什麼要做固定假牙?認識5個固定式假牙的優點
1. 可以保護已經受損的牙齒,避免缺損進一步擴大。
2. 保護牙髓,降低牙齒敏感或是牙髓炎的風險。
3. 恢復門面及美觀,讓社交生活不會因為牙齒治療而受影響。
4. 維持牙齒空間的位置,避免牙齒跑位,恢復咬合功能。
5. 引導牙肉生長,恢復牙周健康。
固定式假牙種類有哪些?認識固定式假牙的5個種類
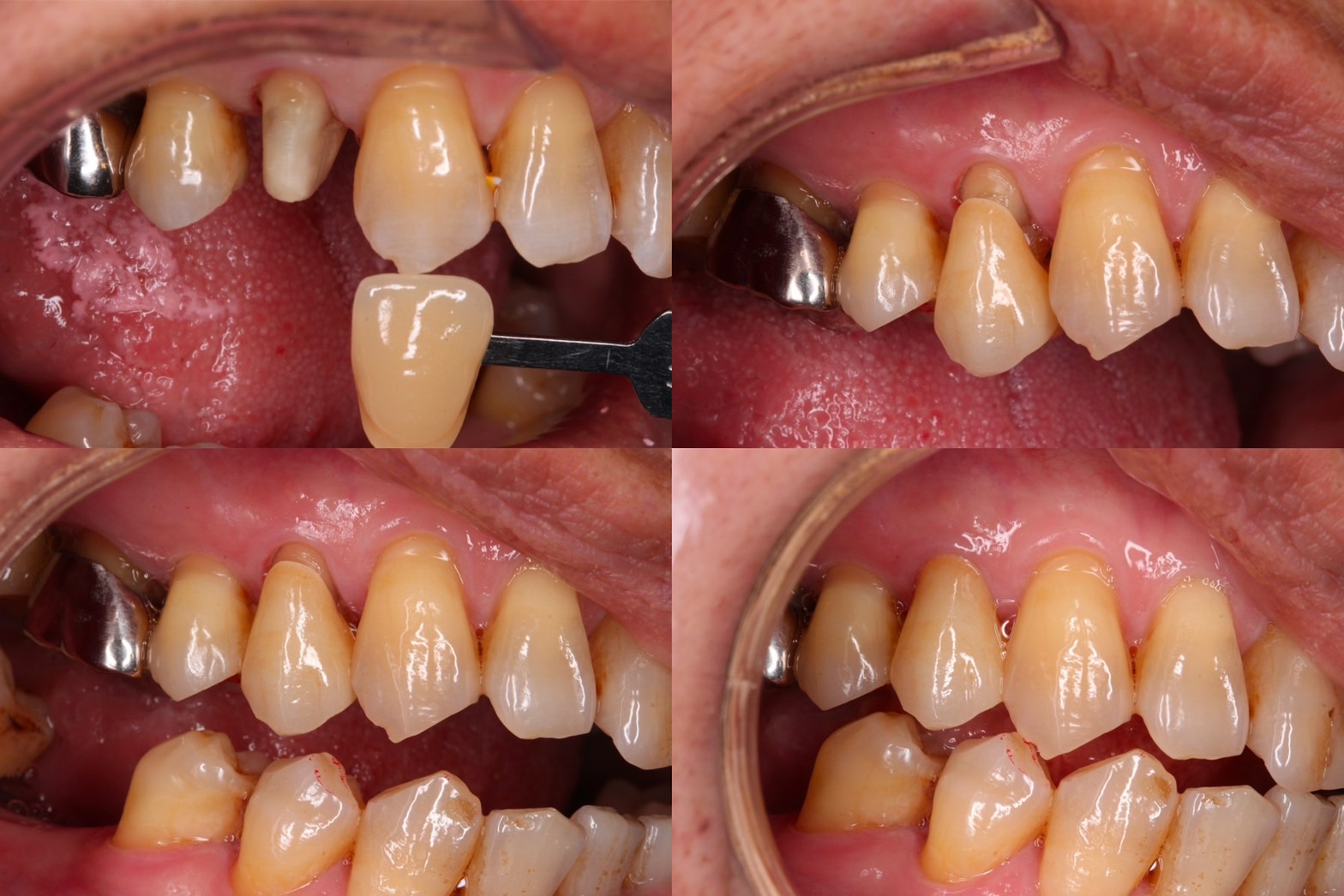
固定式假牙種類1:單顆牙冠
用於單顆牙齒需要修復的情況,可能需要搭配牙釘。牙冠的材質選擇很多,常見如金屬假牙、金屬燒附瓷牙、全瓷冠、全鋯冠等。
・高貴金屬假牙:以黃金、鉑、鈀為主,黃金的成分佔多數,金屬穩定性佳,蛀牙再生率低,使用年限較長。
・金屬燒附瓷牙:內層是金屬,外層會燒一層瓷,以提升擬真度。但因為內層的金屬與外層的瓷都必須有一定厚度,所以得先修磨出金屬的厚度,再修磨出陶瓷厚度,牙齒的修磨量相對較大。
・全瓷冠:不包含金屬成分,結構本身就是全陶瓷或類陶瓷材質的透明支架,並在外面烤上各種漂亮牙色的瓷粉。
全鋯冠:全瓷冠的一種,由一整塊高強度的氧化鋯瓷塊,經電腦3D切割一體成形,最大的優勢在於強度及硬度高。強度約在700~1200 Mpa之間,耐磨、耐咬,因此常用於咬合承受力較大的後牙區,而隨著科技進步,顏色分層上也越來越接近自然牙。
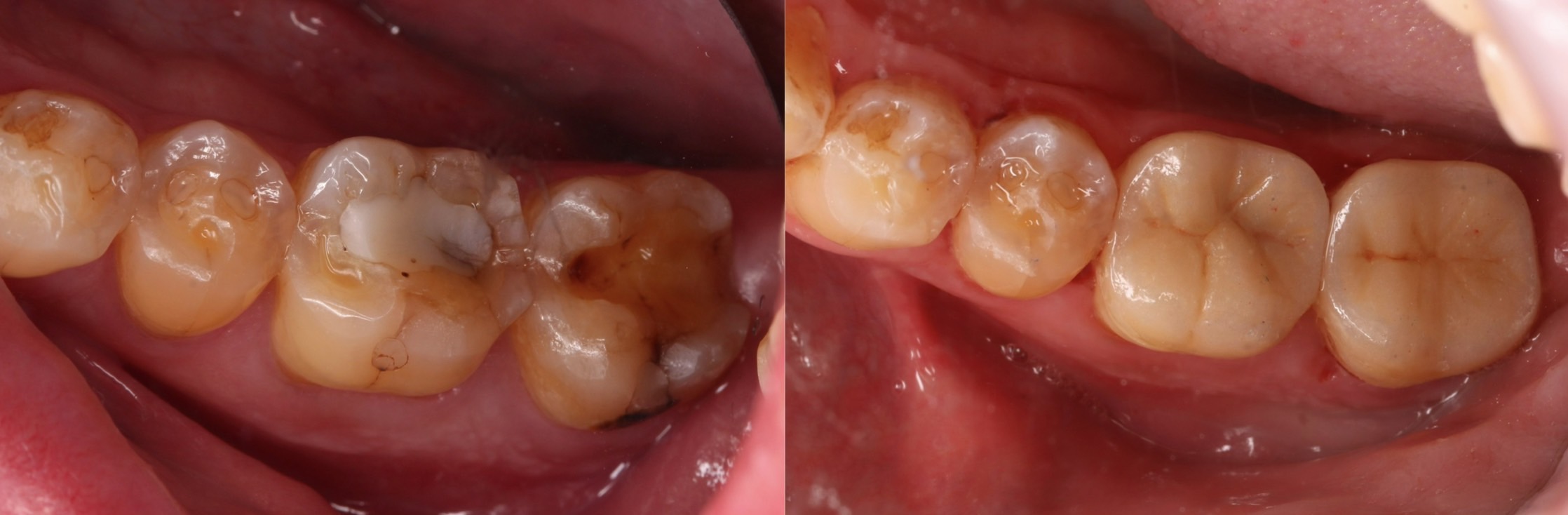
固定式假牙種類2:3D齒雕(嵌體)
利用3D掃描計算缺牙的情形後,牙技師會利用電腦程式製作擬真牙冠,最後黏合在真牙上,是在齒質缺損條件較好的情況下,有機會以更保守的方式保留牙齒齒質的做法。
固定式假牙種類3:陶瓷貼片
常見的材質是由全陶瓷製成,屬於固定式的補綴物(修復物),較常用於前牙。將貼片黏著在牙齒上,用以修補缺損,例如反覆填補造成不好看的樹脂填補物染色的牙齒,或是因外力撞擊造成的斷裂和大範圍面積的蛀牙,陶瓷貼片常能達到最好的美觀需求。

固定式假牙種類4:牙橋
由缺牙處兩側的牙冠和中間的一個或多個假牙組成,牙冠是空心的,主要是利用相鄰的牙齒,將牙橋固定到位。
牙橋的好處是可以恢復你的笑容、咀嚼和說話的能力,保持臉部形狀、分配咬合力,並防止剩餘的牙齒偏離位置。速度快、不需要進行植牙手術、所需身體條件較低。而牙橋也有不同的種類和材質,例如馬里蘭牙橋、金屬合金牙橋、陶瓷牙橋等。
固定式假牙種類5:植牙
利用人工牙根和牙冠來取代缺牙的方法,具有以下3大優點:
1. 穩固且咬合功能強。
2. 可以單顆進行,無需破壞周圍正常牙齒。
3. 外表相當接近真牙,看起來美觀又健康。
固定式假牙如何清潔?
如同上述所說,固定式假牙不用拆下來清洗,只要維持跟真牙一樣的清潔習慣即可,但若選擇的固定假牙種類是牙橋,清潔上就要特別留意。
因為牙橋裝設在真牙上會與牙齦產生清潔死角,也就是俗稱的「牙橋區」,建議搭配特殊器材,例如:超級牙線或是牙橋穿引器,仔細清潔避免細菌滋生。
展心展研展晨林口牙醫診所|專業醫療團隊,幫你找回自信笑容
固定假牙的種類非常多,每個人適合的治療方法都不一樣,價格也有不小的落差,因此在接受假牙療程前,一定要諮詢專業的牙醫診所,協助諮詢、規劃合適療程,才能順利維持口腔健康,同時找回自信笑容。
展心展研展晨林口牙醫診所擁有專業的醫療團隊,致力於提供數據化諮詢服務,並搭配影像化專業解說,為你量身打造專屬牙科服務。有任何牙齒或口腔的治療需求和疑問,都歡迎隨時與我們聯繫。
立即諮詢:展心展研展晨林口牙醫診所



